Tumorile oculare și intraorbitare sunt mase de țesut anormal, care apar și cresc în orbită sau în ochi. Aceste tumori pot fi benigne, sau non-canceroase, în marea majoritate, în cazul copiilor, sau maligne, canceroase, intraoculare sau intraoribitare, foarte rare, foarte agresive, dar cu un prognostic foarte bun, dacă sunt descoperite la timp.
Care sunt cele mai frecvente tumori benigne de orbită în cazul copiilor, cum se manifestă aceste tumori și care sunt soluțiile de tratament?
Cele mai frecvente tumori benigne întâlnite în cazul copiilor sunt:
- Hemangioamele capilare sunt mase de culoare roșie sau albăstruie (în funcție de adâncimea lor), care apar de obicei la câteva săptămâni după naștere, cel mai frecvent la nivelul pleoapei, dar pot avea și alte localizări perioculare. Acestea au o perioadă de creștere inițială rapidă, apoi se reduc în volum și uneori dispar de la sine în următorii ani. Dezvoltarea voluminoasă a acestor tumori poate duce la consecințe importante asupra funcției vizuale, precum ambliopia-scăderea vederii ochiului în jurul căruia crește tumora, de asemenea poate produce desfigurarea prin volum sau prin ulcerarea locală. Tratamentul este de cele mai multe ori medicamentos, dar poate fi completat prin chirurgie.

Hemangiom capilar periocular
- Chisturile dermoide apar ca niște umflături nedureroase bine delimitate, elastice în zona perioculară, sunt prezente de la naștere și tendința lor de creștere este lentă. Tratamentul acestora este chirurgical și este obligatoriu în cazul în care chistul produce căderea pleopei, modificarea poziției ochiului în orbită, sau dacă este foarte voluminos, deoarece poate avea consecințe majore asupra funcționalității oculare. În cazul în care aceste formațiuni sunt reduse ca volum, pot fi doar urmărite în timp.

Chist dermoid periocular
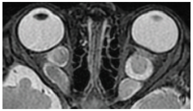
- Gliomul nervului optic este un tip de tumoră, care se dezvoltă în orbită, în jurul nervului optic. De obicei evoluția este foarte lentă, uneori dignosticul este accidental cu ocazia investigațiilor imagistice pentru altă patologie. Clinic se poate manifesta prin scăderea vederii ochiului afectat și secundar apariția strabismului (ochiul fuge), sau prin exoftalmie (ieșirea ochiului din orbită). Acest tip de tumoră apare mai frecvent în cazul unei boli cu transmitere genetică și alte manifestări neurologice/cutanate, numită neurofibromatoză.

Gliom de nerv optic
Care sunt cele mai frecvente tumori maligne oculare și de orbită în cazul copiilor, cum se manifestă acestea și care sunt soluțiile de tratament?
- Retinoblastomul este un tip rar de cancer ocular care afectează copiii mici, de obicei sub vârsta de 5 ani. Retinoblastomul poate afecta unul sau ambii ochi. Retinoblastomul este cancerul retinei, al structurii intraoculare unde sunt prezenți receptorii vizuali.
În unele cazuri, retinoblastomul este cauzat de o mutație genetică moștenită sau nou apărută, în această situație tumora apare la ambii ochi (bilateral). În alte cazuri nu există o genă defectă și doar un ochi este afectat (unilateral). Semnele clinice ale acestui cancer ocular sunt nespecifice și de cele mai multe ori sunt consecința scăderii vederii, astfel că adesea se manifestă prin apariția unui strabism (ochiul fuge), sau printr-un reflex alb al pupilei-leucorie. În cazuri avansate, ochiul poate fi roșu, mai mare, copilul poate avea stări de vomă, dureri de cap, afectare neurologică asociată.
Diagnosticul acestei tumori se face prin examinare oftalmologică. Stadializarea și planul de tratament se fac în urma completării cu examinarea oftalmologică în anestezie generală, completată de examen RMN. Tratamentul este multidisciplinar, general prin chimioterapie, local prin chimioterapie, radioterapie, laserterapie/chirurgical. Succesul tratamentului depinde de stadiul diagnosticului.
Retinoblastomul necesită o perioadă lungă de urmărire după tratament, cu examinări oftalmologice atente, în anestezie generală pentru a decela precoce eventualele recidive. În familiile în care există istoric de retinoblastom este necesară examinarea oftalmologică în anestezie generală, repetată, în scop de screening.
Netratat, acest tip de cancer se răspândește rapid în organism și este mortal.

Retinoblastom

Leucorie (reflex al alpupilei, la un pacient cu retinoblastom) https://eyewiki.aao.org/w/images/1/f/f1/Retinoblastoma_White_Reflex.jpeg
- Rabdomiosarcomul este cea mai frecventă tumoră malignă a orbitei la copii. Vârsta medie a pacienților afectați de rabdomiosarcom este de 6-8 ani. Rabdomiosarcomul este o tumoră, care se dezvoltă din țesutul muscular, periocular.
Din punct de vedere clinic, de cele mai multe ori apare căderea pleoapei- ptoza, ieșirea în exterior a globului ocular-exoftalmie, vederea dublă-diplopia și se poate observa o masă tumorală, ce crește rapid în volum.
Diagnostiul este bazat pe clinică, imagistică, completat obligatoriu de biopsia masei tumorale. Tratamentul se face cu chimioterapie și radioterapie. Succesul tratamentului este foarte mare. Netratat, acest tip de cancer se răspândește rapid în organism și este mortal.

Rabdomiosarcom (https://eyewiki.aao.org/File:Rhabdo_Figure_2.jpg
Lăsate netratate, tumorile pot duce la pierderea vederii, desfigurare, iar în cazul tumorilor maligne la pierderea vieții copilului. Dacă sunt diagnosticate și tratate la timp succesul terapeutic este foarte mare.


























